صحيفة همة نيوز : زهير جمعة الغزال ..

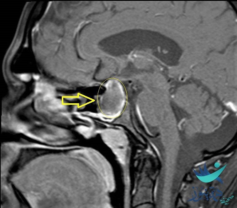
نجح فريق طبي من مستشفى قوى الأمن بالدمام في إجراء جراحتين من أكثر العمليات تعقيدًا وتقدمًا، باستخدام المنظار الجراحي، تمثلت في استئصال ورم حميد في قاع الجمجمة لمريض في العقد الثالث من العمر، وفك التصاق عظام الجمجمة لرضيعة.
وتمكّن الفريق الطبي المكون من جراحة المخ والأعصاب والعمود الفقري بالتعاون مع قسم جراحة الأنف والأذن والحنجرة، من استئصال ورم حميد في قاع الجمجمة لمريض في العقد الثالث من العمر، وذلك عن طريق الأنف بمساعدة منظار جراحي لا يتعدى قطره (3) مليمتر، والوصول إلى الغدة النخامية واستئصال الورم بدون شق جراحي خارجي.
وأجرى الفريق الطبي عملية منظار أخرى لفك التصاق عظام الجمجمة لرضيعة لا يتجاوز عمرها شهران، كانت تعاني تشوهات في شكل الرأس نتيجة التحام مبكر سابق لأوانه لهذه العظام.
يأتي هذا التميز في الخدمات الطبية المقدمة لمنسوبي قطاعات وزارة الداخلية وذويهم، امتدادًا لعديد من الإنجازات الطبية التي حققتها الكفاءات الطبية المؤهلة في مستشفيات قوى الأمن.